Ecological Strategies and Toxin Production of Cyanobacteria
Cyanobacteria possess a suite of unique ecological strategies that grant them a competitive edge, allowing them to outcompete other algae and dominate freshwater ecosystems. These adaptations include sophisticated mechanisms for buoyancy regulation, nitrogen fixation, rapid growth rates, and efficient phosphorus uptake and storage. The combination of these traits enables them to exploit environmental conditions efficiently, often leading to the formation of pervasive and resilient harmful algal blooms (HABs). Understanding these strategies is crucial for predicting bloom dynamics and managing their impacts, which include the production of a diverse array of potent cyanotoxins.
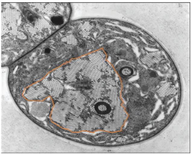
Buoyancy Regulation via Gas Vesicles.The ability to control their position in the water column is a critical advantage for many planktonic cyanobacteria. Dense surface blooms can shade out other algae and aquatic plants, creating a long-term imbalance in the lake's trophic structure. To maximize access to light for photosynthesis, these organisms utilize proteinaceous, air-filled structures called gas vesicles (or aerotopes), as illustrated in Figure 7. These vesicles provide buoyancy, allowing colonies and filaments to float towards the surface. A diurnal migratory pattern is common; organisms photosynthesize near the surface during the day and then sink as accumulated carbohydrates increase their turgor pressure, collapsing the vesicles and allowing them to access nutrient-rich deeper waters at night.

Figure 7. Transmission electron micrograph showing extensive gas vesicles in the planktonic cyanobacterium, Gloeotrichia echinulata (circled). Source: Photo credit: Barry H. Rosen
Water column stability is a key factor in this process, as calm conditions facilitate precise buoyancy control. Turbulent waters can disrupt this, mixing cyanobacteria deeper into the water column where light is suboptimal for growth. Furthermore, prevailing winds can concentrate buoyant blooms along shorelines, leading to dense biomass accumulations in recreational areas and significantly increasing the risk of human exposure to toxins. When under physiological stress from nutrient limitation, cyanobacteria can lose their buoyancy control entirely, becoming stranded on the surface or settling out of the water column entirely.
Nitrogen Fixation and Heterocyte Specialization.Nitrogen is a critical element for cellular growth, and its limitation in a waterbody provides a decisive advantage to organisms capable of nitrogen fixation. Several filamentous cyanobacteria in the Orders Nostocales and Stigonematales can fix atmospheric nitrogen (N₂) within specialized cells called heterocytes. These cells develop from vegetative cells in response to low environmental inorganic nitrogen and involve approximately 60 genes for their formation and the nitrogenase enzyme complex required for fixation. Since nitrogenase is inhibited by oxygen, the heterocyte undergoes significant biochemical changes to create a protective, low-oxygen microenvironment.
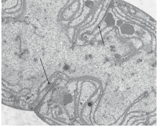
The heterocyte forms a thick, lipid-impregnated cell wall (Figure 8) to limit oxygen diffusion and shuts down the oxygen-producing part of photosynthesis (Photosystem II). This specialization allows the cell to harness energy from the remaining photosynthetic reactions to fuel the nitrogen fixation process, which requires substantial ATP. This ability to convert inert N₂ into bioavailable ammonia enables the synthesis of amino acids, proteins, and nitrogen-rich toxins, supporting proliferation even when other organisms are nitrogen-limited. Some non-heterocytous cyanobacteria, like the marine Trichodesmium, can also fix nitrogen by temporally separating the process from photosynthesis or conducting it within protected cell bundles.

Figure 8. Transmission electron micrograph showing a vegetative cell and a heterocyte. Note the thickened external wall of the heterocyte (at arrows). Source: Photo credit: Barry H. Rosen
Rapid Growth and Phosphorus Metabolism.Cyanobacteria are exceptionally well-adapted to warm waters, with optimal growth rates often occurring at temperatures of 25 °C or greater. Their reproductive strategy contributes to their rapid proliferation; they lack a sexual phase and reproduce through simple cell division. As shown in Figure 9, a new cell wall forms between dividing cells, leading to exponential population growth, with some bloom-forming species capable of doubling their biomass daily. This combination of rapid growth and effective buoyancy regulation can lead to the formation of massive blooms covering vast areas within a short time.

Figure 9. Transmission electron micrograph showing a vegetative cell dividing by forming a new cell wall (at arrows). Source: Photo credit: Barry H. Rosen
Phosphorus is another vital element and is frequently the primary growth-limiting nutrient in freshwater systems. A key ecological strategy is the ability to uptake and store excess phosphorus intracellularly as polyphosphate bodies. These storage granules act as a reserve, sustaining growth for multiple generations when external phosphorus becomes scarce. Furthermore, cyanobacteria can access organically bound phosphorus by increasing production of the enzyme alkaline phosphatase, which liberates inorganic phosphate from dissolved organic matter. This capability is a crucial aspect of the aquatic phosphorus cycle and provides a significant competitive advantage under nutrient-depleted conditions.
Diversity and Prevalence of Cyanotoxins.The risks associated with cyanobacteria have been highlighted by high-profile events, such as the 2014 drinking water ban in Toledo, Ohio, due to microcystin contamination from Lake Erie. Cyanobacterial blooms are often a mixture of toxic and non-toxic strains, producing a complex profile of toxins. These potent secondary metabolites are broadly categorized into three groups: the cyclic peptides (e.g., microcystins and nodularin, which are hepatotoxins), the alkaloids (e.g., the neurotoxins anatoxin-a and saxitoxin, and the cytotoxin cylindrospermopsin), and the polyketides (e.g., the dermatotoxin aplysiatoxin). Many of these toxins have multiple structural variants, or congeners, with microcystin alone having over 120 identified.
National synoptic analyses confirm the widespread prevalence of these cyanotoxins in waterbodies across the United States. Human exposure occurs primarily through ingestion of contaminated drinking water or during recreational activities. In response, the U.S. Environmental Protection Agency has developed health advisory levels for microcystins and cylindrospermopsin in drinking water and recreational water quality criteria. While ingestion poses the greatest risk, dermal contact with toxins like lyngbyatoxin-a is also known to cause severe skin irritation and dermatitis, underscoring the broad public health implications of cyanobacterial blooms.
Date added: 2025-11-17; views: 249;
